体表超音波1

47歳 男性
2ヶ月で7kgの体重減少と手の震えを主訴に受診。
身長180cm、体重80kg→73kg。食事量は変化なし。

スクリーニング目的で甲状腺超音波検査を施行した。
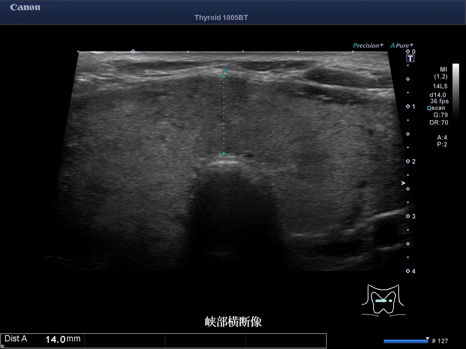
静止画3枚、動画1枚を示す。

〈血液検査データ〉 ()内は基準値
TSH(IFCC):0.01 mIU/L(0.38~5.38 mIU/L)
F-T3:15.80 pg/mL(1.68~3.67pg/mL)
F-T4:2.78 ng/dL(0.70~1.48 ng/dL)
TRAb(第3世代):7.9 IU/L(0.0~2.0 IU/L)

甲状腺超音波 動画 右葉横断像 カラー(No20-21_A)

  甲状腺超音波 動画 右葉横断像 カラー(No20-21_A)

  キー画像 画像名をクリックで画像が開きます
  甲状腺超音波画像 画像1(No20-21_1)画像2(No20-21_2)画像3(No20-21_3)

設問20
誤っている超音波所見はどれか。

① 結節性病変は認めない
② びまん性に腫大している
③ 内部エコーは不均質である
④ 甲状腺内血流は増加している
⑤ 低エコー域内の血流低下を認める

設問21
超音波所見より考えられる超音波診断はどれか。

① バセドウ病
② プランマー病
③ 慢性甲状腺炎
④ 単純性甲状腺腫
⑤ 無痛性甲状腺炎