2025年度 埼玉県医師会臨床検査精度管理調査 生理機能検査 画像サーベイ
メニュー
コンテンツへスキップ
トップ
心電図
心電図1
心電図2
心電図3
心電図4
心電図5
心電図6
呼吸機能
呼吸機能1
呼吸機能2
脳波
脳波1
脳波2
脳波3
神経伝導検査
心臓超音波
心臓超音波1
心臓超音波2
腹部超音波
腹部超音波1
腹部超音波2
体表超音波
体表超音波1
体表超音波2
血管超音波
血管超音波1
体表超音波2
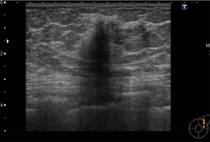
60代 女性
乳房超音波検査を行った。そのときの超音波画像(動画1枚、静止画1枚)を示す。
乳房超音波検査 動画(No22-23_A)
乳房超音波検査 動画(No22-23_A)
キー画像 画像名をクリックで画像が開きます
乳房超音波検査
静止画(No22-23_1)
設問22
超音波画像をみて、正しいのはどれか。
① 境界明瞭粗ぞうの低エコー腫瘤
② 内部エコー不均質の高エコー腫瘤
③ 形状不整形な縦横比の小さな腫瘤
④ 形状分葉形の後方エコー不変の腫瘤
⑤ 後方エコー減弱、境界部高エコー像がみられる腫瘤
設問23
画像の病変で考えられるのはどれか。
① 嚢胞
② 線維腺腫
③ 葉状腫瘍
④ 浸潤性乳管癌
⑤ 非浸潤性乳管癌