腹部超音波2

40代 男性
既往歴:両腎結石(体外衝撃波砕石術後)
喫煙歴:20/day
飲酒歴:なし
現病歴:健診のため、腹部超音波検査を施行した。
    静止画3枚、動画3枚を示す。

【血液検査データ】()内は基準値
Na:140 mEq/L(138~145 mEq/L) K:4.6 mmol/L(3.6~4.8mmol/L) CL:107 mEq/L(101~108mEq/L)
Ca:8.9 mg/dL(8.8~10.1mg/dL) BUN:15.1 mg/dL(8.0~20.0mg/dL) 
クレアチニン:1.78 mg/dL(0.65~1.07mg/dL) 尿酸:6.3 mg/dL(3.7~7.8mg/dL) eGFR:34.2(90.0)
TP:6.8 g/dL(6.6~8.1g/dL) Alb:4.2 g/dL(4.1~5.1g/dL) AST:16 U/L(13~30U/L)
ALT:16 U/L(10~42U/L) ALP(IF):85 U/L(38~113U/L) LD(IF):183 U/L(124~222U/L)
γ-GT:20 U/L(13~64U/L) 血糖:93 mg/dL(70~109mg/dL) HbA1c:5.2 %(4.9~6.0%)
WBC:6.5×10³/μL(3.3~8.6×10³/μL) RBC:4.2×10⁶/μL(4.4~5.6×10⁶/μL)
PLT:202×10³/μL(158~348×10³/μL) 

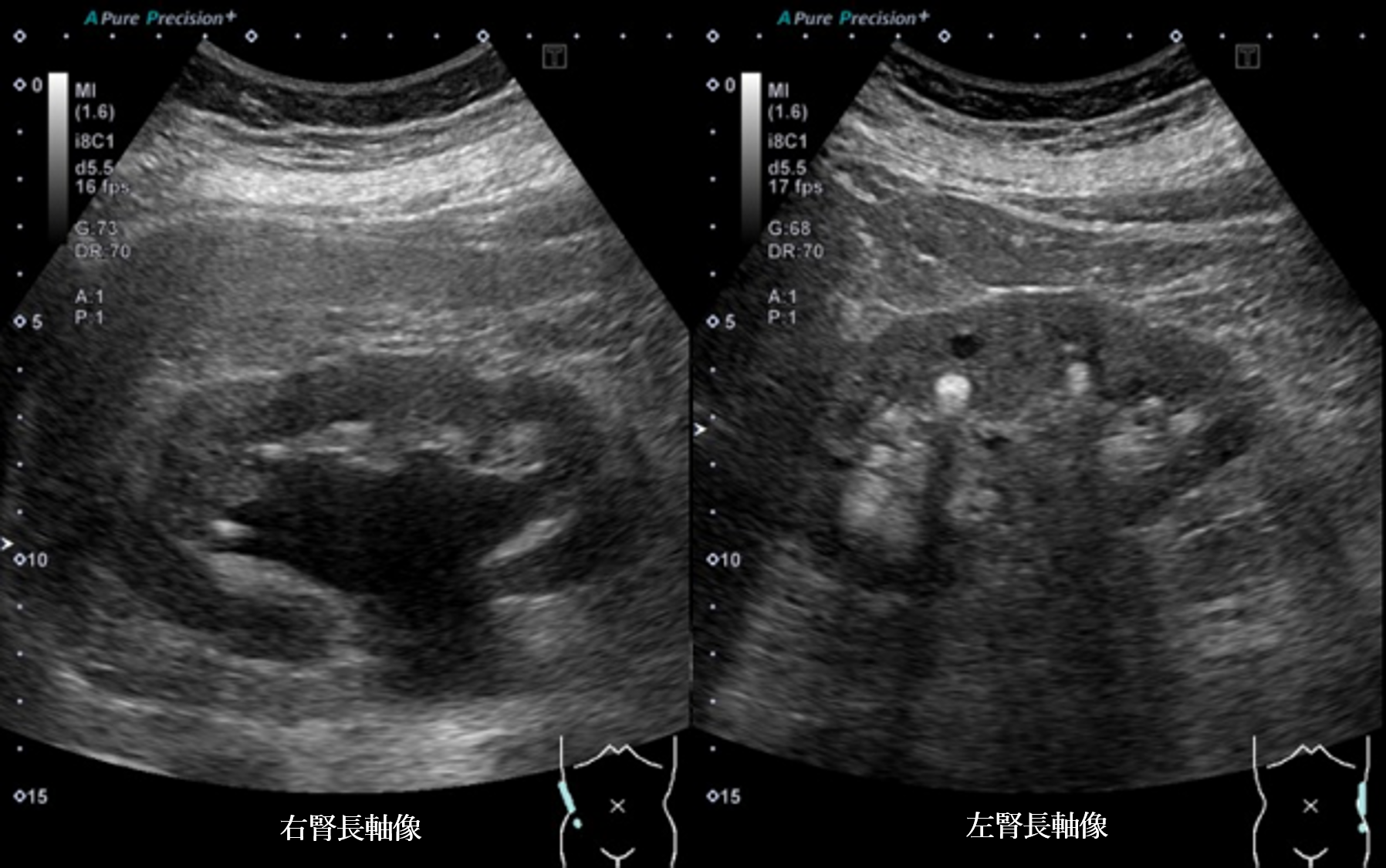
腹部超音波2 動画1 右腎長軸像(No18-19_A)

  腹部超音波2 動画1(No18-19_A)

腹部超音波2 動画2 左腎長軸像(No18-19_B)

  腹部超音波2 動画2(No18.19_B)

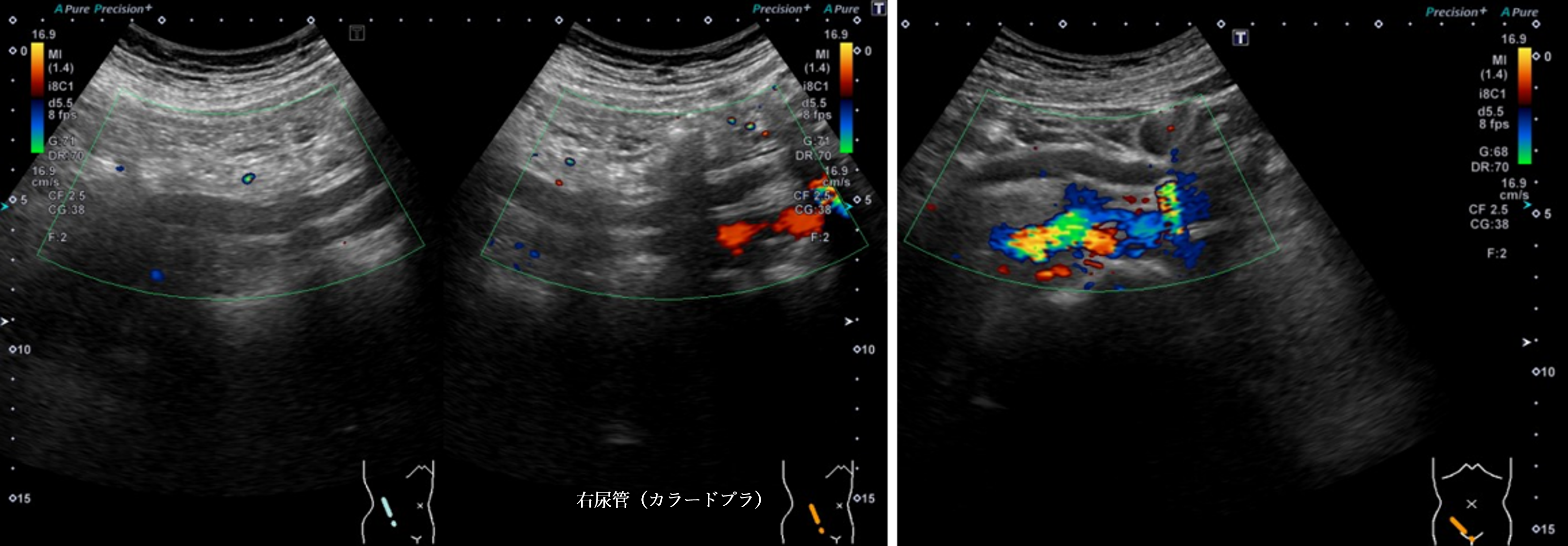
腹部超音波2 動画3 右尿管(No18-19_C)

  腹部超音波2 動画3(No18.19_C)

  キー画像 画像名をクリックで画像が開きます
  腹部超音波画像 画像1(No18-19_1)画像2(No18-19_2)画像3(No18-19_3)

設問18
超音波所見より誤っているのはどれか

① 右尿管内に充実性腫瘍像を認める
② 両腎内に strong echo 像を多数認める
③ 左腎に明らかな腎盂腎杯拡張は認めない
④ 右腎の腎盂拡張および右尿管拡張を認める
⑤ 右腎中心部エコー内に無エコー領域を認める

設問19
超音波所見より考えられるのはどれか。

① 漆喰腎
② 尿管腫瘍
③ 尿管結石
④ 腎洞脂肪種症
⑤ 珊瑚状腎結石