腹部超音波1

70代 男性
既往歴:脂質異常症、2型糖尿病、肺気腫、間質性肺炎
喫煙歴:20-60代 20本/day
飲酒歴:なし
現病歴:肺気腫、間質性肺炎により当院通院中。CT検査を施行したところ、右上葉肺腫瘤を指摘された。
その後右上葉原発小細胞肺癌と診断され、多発脳転移も指摘された。
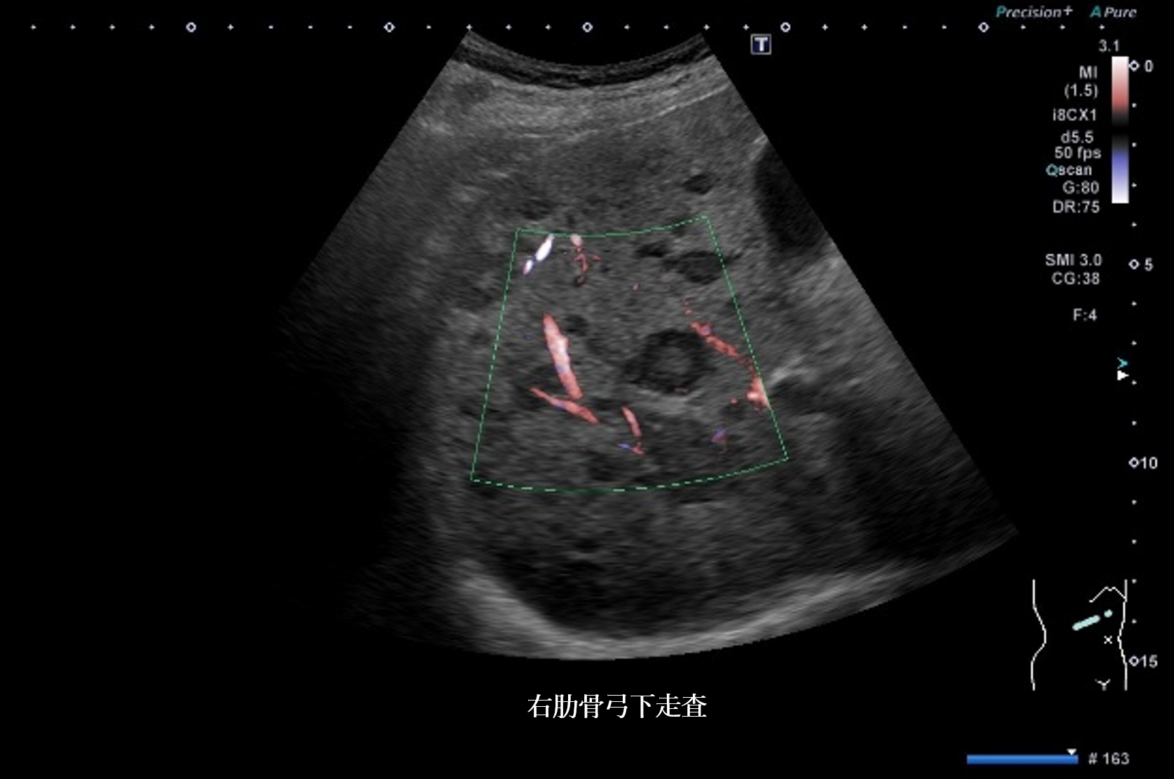
他臓器転移の有無を確認するため、腹部超音波検査を施行した。
静止画4枚、動画1枚を示す。

【血液検査データ】()内は基準値
TP:6.9 g/dL(6.6~8.1g/dL) Alb:3.9 g/dL(4.1~5.1g/dL) AST:5.8 U/L(13~30U/L)
ALT:54 U/L(10~42U/L) ALP(IF):269 U/L(38~113U/L) LD(IF):572 U/L(124~222U/L)
γ-GT:649 U/L(13~64U/L) 血糖:159 mg/dL(70~109mg/dL) HbA1c:9.5%(4.9~6.0%)  
WBC:14.1×10³/μL(3.3~8.6×10³/μL) PLT:350×10³/μL(158~348×10³/μL) 
RBC:4.3×10⁶/μL(4.4~5.6×10⁶/μL)
NSE:67.6 ng/ml(16.3ng/ml) PRO-GRP:148 pg/ml(81pg/ml)

腹部超音波1 動画 右側腹部斜走査(No16-17_A)

  腹部超音波1 動画(No16-17_A)

  キー画像 画像名をクリックで画像が開きます
  腹部超音波画像 画像1(No16-17_1)画像2(No16-17_2)画像3(No16-17_3)画像4(No16-17_4)

設問16
超音波所見より正しいのはどれか

① 肝全体に内部無エコーな腫瘤性病変を多数認める
② 肝全体に腫瘤性病変が多数みられ、辺縁低エコー帯を認める
③ 肝実質は粗雑不均質に観察され、明らかな腫瘤性病変は指摘できない
④ 肝全体に腫瘤性病変が多数みられ、腫瘤内部はモザイクパターンを呈する
⑤ 肝全体に腫瘤性病変が多数みられ、腫瘤辺縁にリング状高エコー像を認める

設問17
静止画および動画から超音波所見と考えられる疾患の組み合わせで正しいものはどれか

① bright loop ― 肝細胞癌
② 後方エコー増強 ― 肝嚢胞
③ nodule in nodule ― 肝細胞癌
④ bull’s eye pattern ― 転移性肝腫瘍
⑤ marginal strong echo ― 肝血管腫